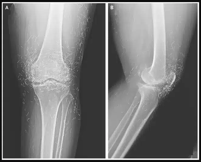
Doctors were recently surprised by an X-ray image of a 65-year-old woman’s knees. The scan showed not just bone, but hundreds of tiny gold needles embedded deep within the tissue. The woman, from South Korea, had been suffering from osteoarthritis, a painful condition where the joints wear down. When traditional pain medications failed to help and caused stomach issues, she turned to an alternative treatment: acupuncture.


In this specific case, her acupuncturist had used gold needles and intentionally left them inside her knees. The goal of this unusual method was to provide continuous stimulation to the joints in an attempt to relieve her chronic pain. While this practice is known in some parts of the world, it is highly unusual and caught her new doctors off guard. Medical experts not involved in her care have pointed out the significant risks of leaving any foreign object inside the body long-term.
These risks include the potential for inflammation, infection, and the formation of painful abscesses. The needles can also interfere with important medical scans, potentially blocking the view of anatomy on an X-ray. Furthermore, a patient with metal needles inside them cannot safely undergo an MRI scan, as the powerful magnets could cause the needles to move, potentially damaging blood vessels or tissue. While acupuncture remains a popular treatment for joint pain, there is limited scientific evidence to prove its effectiveness, and this extreme version of the practice highlights the potential dangers of alternative therapies.